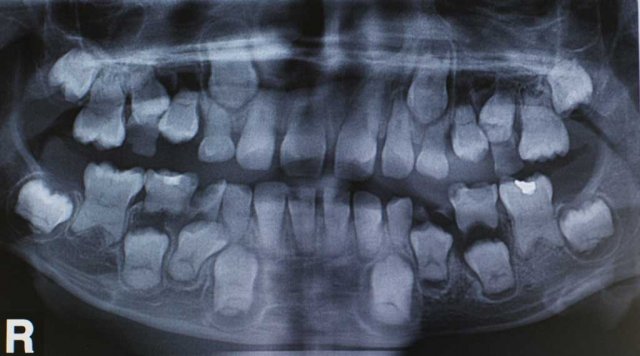
Εργασίες Γέφυρες Εμφύτευματα 3d-Modeling Ενδοδοντικές θεραπείες Παιδιά Καθαρά δοντάκια !!! Χαρούμενα παιδάκια Ακτινογραφική εικόνα μικτής οδοντοφυία ( ύπαρξη ταυτόχρονα μόνιμων και παιδικών δοντιών στο στόμα) σε παιδιά ηλικίας 6 με 12 ετών. Published on June 24th, 2021