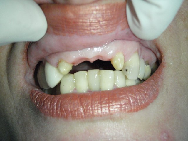
Εργασίες Γέφυρες Μετα την αφαίρεση της παλαιάς προσθετικής εργασίας με αισθητικά προβλήματα , την εξαγώγηκαι των κολοβωματων στις θέσεις των δύο κεντρικών τομέων (11,21) και τελική ουλική διαμόρφωση. Εμφύτευματα 3d-Modeling Ενδοδοντικές θεραπείες Παιδιά Καθαρά δοντάκια !!! Χαρούμενα παιδάκια Published on June 24th, 2021